
交通事故訴訟・反論意見書・脳神経領域(MTBI)

content
(1) 事故および受傷の内容
被害者は追突による交通事故で受傷した後に、頭痛・意欲低下を訴えて病院を受診した。その結果頭部MRIにて慢性硬膜下血腫が認められた。
受傷から約一年後を症状固定日とする自賠責保険後遺障害診断書が作成され、後遺障害等級第7級4号該当との認定を受けていた。
(2)依頼の背景
当初、後遺障害等級認定票では、交通事故外傷による慢性硬膜下血腫に伴う高次脳機能障害が残存していることを認め、「神経系統の機能又は精神に障害を残し、軽易な労務以外の労務に服することができないもの」として後遺障害等級第7級4号に該当すると判断されていた。
被告訴訟代理人によって提出された準備書面および医師意見書では、後遺障害等級第7級4号該当という判断に関して、①交通事故による受傷は慢性硬膜下血腫のみであり高次脳機能障害ではないこと、②被害者の私病とされていたアルコール依存症が7級該当に影響を与えていたという2点の反証があった。
(3)依頼
被告訴訟代理人による反証は妥当ではなく、当初の認定通り後遺障害等級第7級4号該当が相当であることを医師意見書から裏付けしていただきたい。

Image evaluation



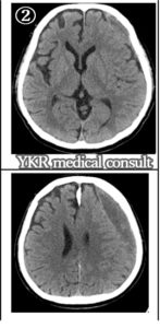
①事故後約3か月:病状悪化により受診した際のもので、両側の慢性硬膜下血腫を認め、左側には多量に血腫が貯溜し強く脳を圧迫している。
②事故後約10か月:この時点でも左側において血腫は比較的多めに残存している。
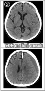
③血腫は減少傾向だが、左側頭頂部には水平断で24mmの厚さで血腫が存在している。
④脳回幅計測と側脳室前角幅計測

左:交通事故受傷時 右:事故後約2年8か月後

Opinion
慢性硬膜下血腫の経過について、長期間にわたり、程度の差はあるものの、左前頭頭頂部を中心に圧迫が持続しており、交通事故後約1年の時点でも左側血腫はまだ厚い状態であった(画像③参照)。
被告側医師意見書内にて述べられていた、「慢性硬膜下血腫の治療経過から判断し、一般的にこの疾患は後遺症を残さないのであるから、同疾患が治癒すれば後遺症を残すことはない。」という内容について、交通事故受傷初診時からの画像所見の経過を提示し、長期間相当程度の圧迫を受ければ脳機能への影響を生じる可能性は否定できないと意見した。
さらに、被告側医師意見書では触れられていなかった脳委縮について画像評価をもとに指摘をし(画像④参照)、その萎縮率から受傷時のびまん性軸索損傷を起因とする脳震盪後症候群の可能性を示し、交通事故と高次脳機能障害との因果関係があることを認めた。加えて、原告陳述書に記載された原告の素行について認知機能障害や精神機能障害を認め、長期間にわたり脳を圧迫していた左慢性硬膜下血腫の影響(呂律不良、説明困難等)が考えられることを意見した。
被告側医師意見書内では、原告の私病であるアルコール依存・肝障害は、「脳萎縮=脳機能の脆弱性」の原因となり、「脳機能の脆弱性」の存在は、当該後遺症発症の原因として、競合的に作用していると述べられていた。
この指摘について、弊社意見書作成医師は、たしかに慢性硬膜下血腫の発症リスクとして、アルコール多飲歴および肝障害によるsubclinicalな凝固障害があげられるものの、そのアルコール摂取や肝障害が、本件で見られた2年余りの期間で、高次脳機能障害を引き起こす原因となるとは考えにくく、慢性硬膜下血腫による頭蓋内圧亢進の影響と考えるのが妥当であると意見し、高次脳機能障害の原因にはならないと反対意見を述べた。

Appraisal results
被告側医師意見書は、実際に生じている注意障害などによる作業能力の低下といった高次脳機能障害や性格変化などの精神症状にはほとんど言及せず、慢性硬膜下血腫は脳に後遺症を残さないという一般論に基づいて意見を述べているに過ぎない。
しかし、本件では脳萎縮の進行は画像上明らかであり、軽度のびまん性軸索損傷による脳震盪後症候群が主病態であると意見する。これに慢性硬膜下血腫手術前の頭蓋内圧亢進による両側大脳への影響および手術後も長期残存した左慢性硬膜下血腫による直接圧迫から発生する左脳の障害が加わったものであると考える。また、アルコール依存症や続発する肝障害により「脳機能の脆弱性」が存在しているという主張は本件における根拠に欠けると意見した。

Results
弊社意見書の主張どおり、後遺障害等級第7号4級が認められた。なお、アルコール摂取が素因であることは完全に排除できなかったものの、当初の減額率よりも少ない減額率となった。
